ヽ(✿゚▽゚)ノ大家好~❤~,我们是其容网,是整形咨询网站🎶,我们网站每天会收到网友们来自五湖四海的整形经验分享😘,小编会把网友们的分享整理成文分享给大家,希望能给大家做个参考🎁,我们网站一直在更新,但部分案例和知识仍尚不完全😍,其容网小编也一直在努力中呢,希望分享能给大家带来帮助~❤~。
PS:其容网有咨询师可以解答你的整形问题~~可以点击本页面客服24小时免费咨询哦😘🎶~~
北京百达丽王维内切去眼袋怎么样?价格案例分享,多少钱?价格表如何?花费高不高?费用贵不贵?术后恢复如何?医疗美容整形外科医院环境如何?群众评价高不高?口碑好不好?医生护士服务态度好不好?相必爱美的你肯定非常想了解吧,这毕竟是关乎自己美丽漂亮的事儿!那么接下来,其容网的这篇文章供您参考,希望对你有所帮助。
项目:内切去眼袋
医院:北京百达丽医疗美容门诊部
医生:王维
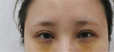
第五天了,去医院拆线了,医生说我恢复的很好哦,现在眼袋已经看不见了哦,整个人真的精神了好多哦,心情大好。



第十天了哦,感觉这个祛眼袋项目还是很不错的哦,果真的很好,而且性价比也不错,恢复时间还短,基本上都不用请假,轻轻松松变美,只要注意日常饮食就可以了。真的太喜欢了,大家看可以看看我十天后的果哦,给大家一个参考。






部分案例和知识尚不完全~~其容网小编也在努力更新中呢~~欢迎你多多浏览其容网其他相关文章~~如果你还有疑问~~其容网有咨询师可以解答你的整形问题~~可以点击本页面客服24小时免费咨询哦😘🎶~~
ヽ(✿゚▽゚)ノ❤其容网是一家专业从事于女性美容整形的网站,同时也是国内专注于医疗美容整形领域的资讯平台之一🎶。其容网自创建以来凭借真诚的服务,客观公正的原则获得了众多好评🎄。目前,其容网为广大爱美女性网上提供专业正规的医院,医生信息,整形项目🎁,全国各地的整形价格和整形美容方面的新动态等,当然也经常推出整形优惠和整形团购活动😃。欢迎咨询,助你越来越美~❤~






